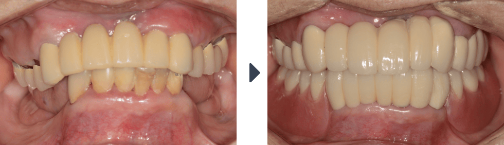
残っている
自分の歯を
活かしたい
手術負担が不安で
インプラントは
避けたい
入れ歯では
硬い物が噛めず
食事を楽しめない
笑ったときに
金属の
バネが
見えるのはイヤ
歯ぐきや顎骨の
痩せを防ぎ
口元のオシャレを
楽しみたい
持病があり
外科手術は難しい
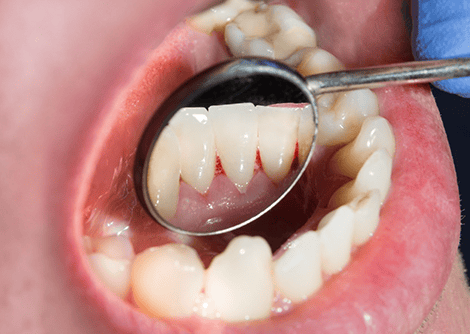
自分の歯に小さなかぶせ(内冠)を付け、その上から入れ歯側のかぶせ(外冠)をはめて固定します。
二重構造なので、2つの嵌合力でピタッと安定。
ガタつき・外れにくいです。
材料はコバルトクロム合金。
軽くて丈夫で、体にもやさしい金属です。
そのため、食事や会話の違和感が少なく、長く安心して使えます。
STEP.1
残っている歯に
内冠を被せる
STEP.2
外冠を装着した
被せ物を作る
STEP.3
嵌合力で
ピタッとはめ込む
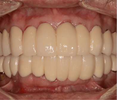
STEP.4
残存歯を活用して
綺麗な仕上がりに
治療費用:月々6,600円〜(※)
※保険内治療ではできないため保険外治療(約50~300万円)
※デンタルローン(120回分割)の場合、別途分割手数料。

「長くお口の中に入るものだからこそ、歯科材料専門メーカーによる信頼できる素材を使いたい」という考えのもと、当院では松風製コバルト素材を選択しています。
当院では、入れ歯の金属部分に、歯科材料メーカー「松風」が開発した
歯科用コバルトクロム合金「コバルタンMB」を採用しています。
コバルタンMBは、クラウンやブリッジにも使われる歯科用金属で、口腔内での使用を想定した高い耐食性と研磨性を備え、管理医療機器として認証を受けている材料です。
| 機能性噛める | 審美性見た目 | 耐久性長持ち | 可変性口腔内の 変化に対応 |
衛生的磨きやすさ | |
ブリッジ治療
隣接歯を削ることによりムシ歯のリスクを増やし、両端の歯に過度な負荷がかかる。 |
○ | ○ | △ | × | × |
保険の入れ歯
厚みがあり和感を感じることが多い。精密さに欠ける点は否めない。噛めるという方ももちろんいるが「快適」「味わい」「噛み応え」が無い。 |
× | × | △ | △ | △ |
審美義歯スマイルデンチャー
バネがなく軽く、審美的に優れている。きれいで手軽だが耐久性が少ない。修理の自由度は少なく「使い捨てのコンタクト」のような感じで数年で取り換える覚悟が必要。 |
× | ○ | × | × | ○ |
金属床義歯
床の部分がコバルトや金合金などの金属で製作されている義歯。薄く、軽く、耐久性に優れ、味や温度の感覚があることもメリット。 |
△ | △ | △ | △ | ○ |
インプラント治療
高額で手術があるが自分の歯に一番近く用現でき、咬み心地や味わいが保てる。1本単独の治療はベストな選択だが、多数の場合は組み合わせを考えるとかなりの高額になってしまう。 |
◎ | ○ | ○ | △ | △ |
コーヌスデンチャー(コバルト製)
ブリッジのようにセメントで固定しないので、取り外しでき、清掃が非常に容易になる。審美性や耐久性においても関わらず、使いや歯全体を合わせ支えていく理由に適応される。インプラントとも組み合わせられるので、今までの治療が無駄になる事が少ない。 |
◎ | ○ | ◎ | ◎ | ◎ |
※①〜⑤の工程で、全体としておおよそ1週間を想定しています。
※保険内治療ではできないため保険外治療
| 【略歴】 | |
|---|---|
| 2000年 | 鶴見大学歯学部付属病院 口腔外科入局 |
| 2001年 | 医療法人社団アルプス歯科 勤務 |
| 2008年 | 医療法人社団新宿センタービル歯科 勤務 |
| 2014年 | ウェル西新宿デンタルクリニック 開院 |
【関連学会】
日本歯科審美学会
日本歯科東洋医学会
アンチエイジング歯科学会
年齢の「齢」に「歯」が入っているのはなぜでしょう。それは、年齢には大きく「歯」が関わっているからです。
どの様に体内の組織の一部として調和させてゆくのか自然界の持つ美しさや個人の持つ個性を生かしながら、口元から始まる健康をテーマに一人一人の方の健康的な人生を歯科治療から寄り添ってお付き合いしたいと考えています。
新宿という土地柄もあり多くの歯科者がありますが、ドイツで開発されたテレスコープ義歯を用いた治療「ドイツ式テレスコープ義歯(コバルト・コーヌス)」などを取り入れ、土曜日診療も行い、患者さんへの体のご負担がないよう痛みに配慮した治療を心がけています。表面麻酔や電動麻酔器の使用などにより、刺激の軽減に努めています。
どうぞご利用の際には院長だけでなく、ウェル西新宿デンタルクリニックの歯科衛生士や受付のスタッフにもお気軽にお声かけ下さいませ。
| 【略歴】 | |
|---|---|
| 1963年 | 神奈川県生まれ |
| 1984年 | 横浜歯科技術専門学校 卒業 |
| 1985年 | 新宿アルプス歯科 勤務 |
| 2006年 | Japan ALPS Dental Evolution 開設 |
【関連学会】
日本歯科審美学会 常任理事 認定士
日本歯科技工学会 理事
日本アンチエイジング歯科学会 理事
日本歯科技工士会 生涯研修認定講師
リンクはこちら
院長の実家も地域の歯科医院で、家族も歯科医として一般診療に携わっています。
そうした環境で培った経験を生かし、当院でも専門治療と日常の「噛む・食べる」を支える診療に努めています。
〒160-0023 東京都新宿区西新宿3-1-4 ウェル新都心ビル1F
新宿駅南口から徒歩5分
都庁前駅O-2出口すぐ/A-2出口から徒歩7分
| 診療時間 | 月 | 火 | 水 | 木 | 金 | 土 | 日 |
|---|---|---|---|---|---|---|---|
| 10:00〜19:00 | ○ | ○ | ○ | / | ○ | / | / |
| 10:00〜17:00 | / | / | / | / | / | ○ | / |